Hip Labral Tears

Understanding labral injuries and how they may contribute to hip pain and instability

A hip labral tear refers to damage or injury to the labrum, the ring of cartilage that surrounds the rim of your hip socket (acetabulum). This structure helps stabilise your hip joint by deepening the socket and providing a seal around the femoral head (the ball of the hip joint). When the labrum is torn or damaged, it can lead to pain, clicking or catching sensations, reduced mobility, and a feeling of instability in the hip.

Labral tears can occur for a variety of reasons, including structural abnormalities like femoroacetabular impingement (FAI), repetitive movements in sports, trauma, or degenerative changes over time. They are commonly seen in active individuals but can affect people of all ages and activity levels.

250716 drjasonhockings 2m9a9969 (2)

If you’re experiencing ongoing hip or groin pain, particularly during twisting, turning, or prolonged sitting, it may be worth investigating whether a labral tear is contributing to your symptoms. Early diagnosis and treatment may help preserve your joint health and improve your quality of life.

This page provides clear, information about the causes, symptoms, diagnosis, and treatment options for hip labral tears, including when arthroscopic surgery might be considered.

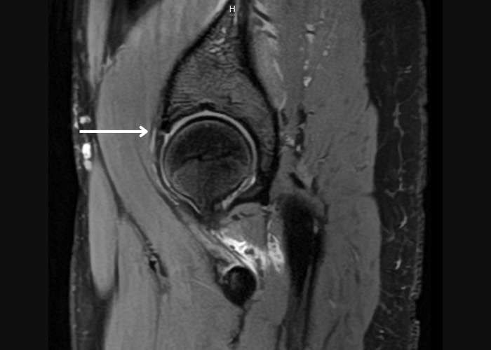
mri of hip labrum tear

What is the labrum in the hip?

The labrum is a ring of strong, flexible cartilage that lines the rim of the hip socket (acetabulum). It plays a vital role in stabilising the hip joint by deepening the socket and helping the ball of the thigh bone (femoral head) stay securely in place.

The labrum also acts as a seal, helping maintain fluid pressure in the joint and cushioning forces during movement. When the labrum becomes torn or damaged, it can lead to pain, instability, and reduced function in the hip.

What is a hip labral tear?

A hip labral tear refers to a tear or fraying of the labral cartilage in the hip joint. This injury may occur suddenly (due to trauma or a sports injury) or develop gradually over time from repetitive joint stress or abnormal hip mechanics.

Labral tears are commonly associated with femoroacetabular impingement (FAI), a condition where the shape of the hip bones causes excess friction within the joint.

If left untreated, labral tears may contribute to joint instability and may increase the risk of developing early hip arthritis.

In an Australian study of 98 hips in professional ballet dancers and age, and sex-matched sporting participants, labral tears were identified in 51% of all hips.

Common symptoms of a labral tear

Symptoms of a labral tear may vary depending on the size, location, and cause of the injury. You may experience:
In some cases, symptoms may come on slowly and mimic other causes of hip pain, making diagnosis important.
side view man playing soccer

What causes hip labral tears?

Labral tears can be caused by several different mechanisms:
Some people may also have labral tears without symptoms. Treatment is usually only required when the tear causes pain or functional limitations.

How is a labral tear diagnosed?

Diagnosis of a hip labral tear begins with a thorough consultation and clinical examination. Dr Jason Hockings will assess your hip mobility, stability, and areas of tenderness, and ask about your symptoms and activity level.
Diagnostic imaging may include:
In some cases, a diagnostic intra-articular injection may be used to confirm the joint as the source of your pain.

Non-surgical treatment options

In cases where symptoms are mild or moderate, non-surgical treatment may be trialled first. These options may include:
These treatments may be enough for some individuals, particularly if the tear is small or degenerative.

When might surgery be recommended?

Surgery may be considered if symptoms persist despite appropriate non-surgical management or if imaging confirms a significant labral tear. Indications for surgery may include:
Surgical intervention aims to relieve pain, restore function, and preserve long-term joint health.

Most labral tears are treated with hip arthroscopy, a minimally invasive procedure where a small camera and instruments are inserted through tiny incisions to visualise and treat the inside of the joint.

Labral repair is generally preferred over debridement when the tissue is of good quality and repairable.

Recovery from arthroscopic labral repair varies depending on the extent of the tear, the type of repair, and any associated procedures performed (such as FAI correction).

In general:
Dr Hockings and his team will guide you through a tailored rehabilitation plan to help restore your mobility, strength, and function.
250716 drjasonhockings 2m9a9816

If you’re experiencing ongoing pain, stiffness, or reduced movement that is affecting your daily activities or quality of life, a thorough orthopaedic assessment can help determine the cause and guide the most appropriate treatment options for your situation.