Avascular Necrosis (AVN)

A loss of blood supply to the hip bone leading to joint collapse and chronic pain

Avascular necrosis (AVN), also known as osteonecrosis, is a serious condition that occurs when the blood supply to a section of bone is disrupted. In the hip, this typically affects the femoral head, the ball-shaped part of the thigh bone that fits into the hip socket. Without adequate blood flow, the bone tissue begins to die, which can cause the femoral head to weaken, flatten, and eventually collapse.

AVN can develop gradually or progress rapidly, and often leads to hip pain, stiffness, and difficulty with walking or bearing weight. Over time, it may result in advanced arthritis of the hip joint.

A range of factors may contribute to AVN, including previous trauma (such as a hip fracture or dislocation), long-term use of corticosteroids, excessive alcohol intake, or certain medical conditions. However, in some cases, the cause may be unknown (idiopathic).

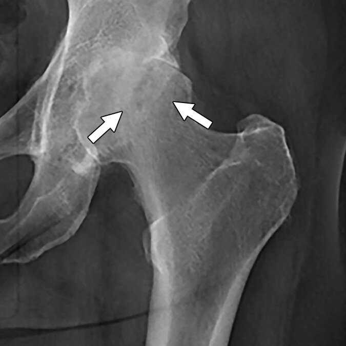
hip osteonecrosis

Early diagnosis is key, as some cases may be managed with non-surgical treatment if caught in the early stages. For advanced or progressive cases, surgery including total hip replacement may be recommended to restore function and relieve pain.

This page explains the causes, symptoms, diagnosis, and treatment options for AVN of the hip to help you better understand your condition and the pathways available for care.

What is avascular necrosis (AVN) of the hip?

Avascular necrosis (AVN), also known as osteonecrosis, is a condition that occurs when the blood supply to the femoral head (the ball of the hip joint) becomes disrupted. Without adequate blood flow, the bone tissue begins to die, leading to the collapse of the femoral head, joint deterioration, and eventually, arthritis. The hip is the most commonly affected joint in AVN, although other joints such as the shoulder or knee may also be involved.

Early diagnosis and treatment are important, as progression of the disease can lead to permanent damage requiring joint replacement surgery.

unrecognizable muscular build man with injection of steroids.

What causes AVN?

Avascular necrosis can result from a number of underlying causes that reduce blood flow to the femoral head. These may include:

In some cases, no clear cause can be identified — this is referred to as idiopathic AVN.

In developed countries including Australia, Canada and Sweden, AVN accounts for approximately 2.8 % to 6.0 % of all total hip replacements.

Who is at risk of developing AVN?

Avascular necrosis can affect both men and women, typically between the ages of 20 and 60. Risk factors include:

AVN may affect one or both hips. When both sides are involved, this is referred to as bilateral AVN.

250716 drjasonhockings 2m9a9825

Common symptoms of hip AVN

AVN may not cause symptoms in its earliest stages. As the condition progresses and bone tissue begins to break down, symptoms can include:
In later stages, the femoral head may collapse, leading to joint damage and early-onset osteoarthritis.

How is AVN diagnosed?

Diagnosing AVN typically involves a combination of clinical assessment and imaging. Dr Jason Hockings will begin by reviewing your symptoms, medical history, and any relevant risk factors.
Investigations may include:
The stage and severity of AVN will help determine the most appropriate treatment approach.

Non-surgical treatment options

Non-surgical management may be considered in early-stage AVN when the femoral head is still intact. These options may include:
Non-surgical treatment aims to preserve the joint and delay the need for surgery, but may not be effective once structural collapse begins.

When might surgery be required?

Surgical treatment may be recommended if:
The type of surgery recommended will depend on the severity of AVN and the condition of the joint.

Surgical treatment for AVN of the hip

Dr Jason Hockings offers a range of surgical procedures for patients with AVN of the hip:
Not all patients are suitable for hip resurfacing and careful evaluation is required.
img 0020

If you’re experiencing ongoing pain, stiffness, or reduced movement that is affecting your daily activities or quality of life, a thorough orthopaedic assessment can help determine the cause and guide the most appropriate treatment options for your situation.